Cool Class: Anatomy and Physiology
A strong foundation in human biology is essential for students pursuing careers in medicine, nursing, physician assistance and the health sciences. For those students, anatomy and physiology — the study of the body's structures and how they function — is often among the most demanding and consequential courses of their undergraduate education, serving as both a prerequisite for graduate programs and a proving ground for the scientific thinking those programs require.
Students have an innovative opportunity to build that foundation in the two-semester anatomy and physiology sequence taught by Vera McIlvain, an associate teaching professor in the Department of Biology in the College of Arts and Sciences. The course draws more than 200 students per lecture including biology majors and other allied health students and has earned a reputation as one of the College's most rigorous and rewarding. Intentionally demanding, the comprehensive course covers the systems, structures and physiological processes that form the basis of human health. But what sets it apart, students say, is how it is taught.
McIlvain’s students don’t walk into class to hear a lecture for the first time — because the lecture has already happened. In what educators call a flipped classroom, McIlvain has built a library of more than 170 original instructional videos that students work through before they arrive: short, focused lessons on a platform that pauses to test comprehension in real time. By the time students are in the room, the basics are behind them. That frees every minute of class time for the harder work: clinical application, concept mapping, real-time polling that surfaces misconceptions on the spot and the kind of problem-solving that mirrors how healthcare professionals actually think.
For Niamh McGuinness ’26, a student planning to attend PA school after graduation, that approach has been transformative. “Dr. V has helped me learn what study strategies are most effective for this type of learning,” she says, “which is one of the most valuable takeaways from this course.”
That preparation extends to how students are tested. McIlvain’s exams use a select-all-that-apply format designed to reveal what students actually know rather than what they can eliminate. A graduate of the program now finished at Columbia told McIlvain that the format gave her a measurable advantage over peers who had only encountered traditional multiple choice.

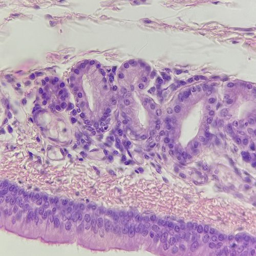
The course also extends beyond at-home and in-person lectures. Lab sections meet weekly, where sessions include exercises such as students examining slides of microscopic tissues using equipment McIlvain says produces images of textbook quality. Students capture their own micrographs of each tissue type, building a personal image library they use throughout the course.
Microscopic images by Sophie Konidis '27
An example of a micrograph captured by a student during a lab.
Students examine microscopic tissues during lab sessions.
Students are able to capture textbook-quality images during labs.
One of the most impactful elements of the upper-division course, BIO 316, is an annual visit to the cadaver lab at SUNY Upstate Medical University, where medical students lead anatomy instruction. For students considering graduate and professional school, the experience of being able to interact with their older peers is both practical and motivating.
“I learned a lot about not only anatomy and physiology from the medical students but also different paths and perspectives for a future in healthcare,” McGuinness says.
Adrien Schmitt ’26, a pre-health undergraduate, agrees.
“Being able to ask actual medical students questions about their time in medical school was invaluable,” he says, “as I will be applying to medical school myself.”
McIlvain’s doctoral work in systems neuroscience and postdoctoral research in genetics shaped how she teaches, bringing a research lens to curriculum design, assessment and course development. The classroom, she says, is where she found her greatest impact.

She has stayed in touch with many former students, collecting feedback long after they leave her classroom. For McIlvain, that kind of feedback is what drives continued refinement of the course, which she updates each semester based on student feedback. The goal, she says, is straightforward: prepare students not just to pass an exam, but to carry what they’ve learned into whatever comes next.
“The A&P two-semester sequence have been my favorite biology courses I’ve taken in my four years here at Syracuse,” Schmitt says. “The simple fact that she (McIlvain) learns the names of every single one of her more than 200 students in the lecture is a testament to her character and love for teaching. She’ll take the time during lab to explain topics to you and there is no such thing as a bad question.”
It is a standard McIlvain says she holds herself to every semester.
“There’s more than 200 students in the class sitting in a lecture hall,” McIlvain says, “but I try to make every one of them feel like they’re not just a number.”
Published: April 17, 2026
Media Contact: asnews@syr.edu